Gallery
PREVENTIVES DENTISTRY
The practice of looking after your gums and teeth and maintaining good oral hygiene to keep them healthy is known as preventive dentistry.
GUM PIGMENTATION
Gum depigmentation, also known as gum bleaching, is a procedure used in cosmetic dentistry to lighten or remove black spots or patches on the gums consisting of melanin.
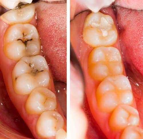
FILLING
Fillings are used to treat decay, as well as repair, cracked, broken or injured teeth.
RCT (ROOT CANAL TREATMENT)
A crown and bridge also known as a cap, is used to strengthen a tooth and improve its overall appearance and function.
DENTAL CROWN & BRIDGES
A crown and bridge also known as a cap, is used to strengthen a tooth and improve its overall appearance and function.
SMILE MAKEOVER
Smile Makeover is a process of improving the appearance of a smile through various procedures which are cosmetic or surgical.
KIDS DENTISTRY
Evaluation of eruption and growth patterns to see how the teeth are growing into the mouth.
DENTAL IMPLANTS
Dental implants are replacement tooth roots.
BRACES & ALIGNERS
Dental braces are appliances which are used to align or straighten the teeth and guide the teeth to the corrected position.
WISDOM TEETH
Wisdom teeth removal surgery is an outpatient procedure that is typically performed by a dentist or oral surgeon.
BRACES & ALIGNERS
Dental braces are appliances which are used to align or straighten the teeth and guide the teeth to the corrected position.
MOUTH ULCERS
Mouth Ulcers commonly known as canker sores are painful lesions in the mouth or at the base of the gums or inside cheeks or lips.
ULTRASONIC SCALING
Traditionally, scaling has been done with a metal instrument.
DENTURES
A denture is a removable replacement for missing teeth and adjacent tissues.
HAIR PRP
PRP (platelet-rich plasma)
VAMPIRE FACIAL
Facials can remove dead skin cells, unclog pores, and increase circulation, which delivers more nutrients to skin cells.
MICRO DERMA BRASION
Microdermabrasion is a minimally invasive procedure used to renew overall skin tone and texture.
HAIR TRANSPLANT
It's a type of surgery that moves hair you already have to fill an area with thin or no hair.
MICRONEEDLING
Microneedling works by encouraging your skin to make more collagen.
MESO THERAPY
Mesotherapy is a technique that uses injections of vitamins, enzymes, hormones, and plant extracts to rejuvenate and tighten skin, as well as remove excess fat.
CHEMICAL PEELS
Chemical peels can improve the skin's appearance. In this treatment, a chemical solution is applied to the skin, which makes it "blister" and eventually peel off.
BLOOD PRESSURE(B.P.)
Blood pressure refers to the force of the body’s blood pushing against the inner walls of the blood vessels, especially the arteries.
DIABETES
Diabetes is a disease that occurs when your blood glucose, also called blood sugar, is too high.
THYROID
The thyroid is a butterfly-shaped gland that sits low on the front of the neck.
ASTHMA
Asthma is a condition in which your airways narrow and swell and may produce extra mucus.




